(718) 891-0606

*Same day appointments * 24hr answering service

FOLLOW US

Table of contents

    All-Ceramic Restorations

    Why Choose All-Ceramic Restorations?

    In the past, most crowns contained some sort of metal and the few that didn’t tend to be only for front teeth and were a little more fragile. Nowadays that has all changed. Although crowns may still have a metal substructure that is covered up with metal, it’s becoming increasingly common to for dentists to offer fillings, crowns and even bridges that are entirely metal free.

    So are these always the best choice and if so why?

    Excellent Aesthetic Results

    Here at the Envy Smile, we often suggest all-ceramic restorations for patients requiring the very best aesthetic results. For example, you may wish to consider a metal free crown or dental bridge when restoring or replacing front teeth. Although you can get very good results with crowns and bridges that have metal substructures, all-ceramic restorations can definitely be superior.

    (718) 891-0606
    *Same day appointments * 24hr answering service

    This is because the light can pass through the ceramic material which cannot happen so easily with a crown that has a metal substructure.

    Even though the metal substructure is covered up with porcelain, it’s slightly opaque which has the effect of blocking the light and creating an appearance that isn’t quite as translucent and lively as a natural tooth. Some porcelain fused to metal crowns can also appear to be slightly grey around the gum margin, as this is where the porcelain is thinner and depending on the design of the crown can allow some metal color to shine through, creating a darker line at this margin.

    Same Day All-Ceramic Crowns and Fillings

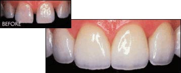
    ceramic crowns before afterOur same-day crowns are extremely good and are very popular with patients. These crowns are made from a solid block of pure porcelain that is pre-shaded. They are milled using the very latest CAD/CAM technology to produce a very precise fit, sealing out bacteria and protecting your tooth while restoring strength and structure. We can also use this technology to make porcelain fillings. These can be great for repairing larger cavities in back teeth as tooth-colored composite resins wouldn’t be quite strong enough. All this work can be done while you wait so you will only need one appointment to have your tooth prepared, and your new ceramic crown or filling made and fitted.

    What to Expect when having Same Day Crowns and Fillings

    With a same-day filling or crown, you can expect to leave our dental office with your new restoration firmly in place, having only required an appointment of approximately an hour. To make these restorations, our dentists will prepare your tooth in exactly the same way as normal, using a local anesthetic to make sure you don’t feel a thing during treatment. After removing all the damaged portion of the tooth, it is scanned using a very small camera. We find this treatment to be particularly good for people who struggle to have conventional dental impressions and it is also helpful for anyone with a strong gag reflex. Once the tooth has been scanned, the information is used by our dentists to individually design your restoration so it can be made to their exact specifications.

    The next step is to select a pre-shaded block of porcelain that will blend in with your natural tooth color. The design is then sent to our on-site milling machine so your new restoration can be milled or carved out of this single block of porcelain. Once milling is complete the restoration is hand finished. At this point, we can characterize your new crown or filling and will stain and either polish or glaze it so it looks completely natural. The end result is an extremely strong restoration that has been precision made, which means the fit will be excellent. The final step is for your restoration to be tried in before it is permanently bonded onto your tooth, see dental bonding.

    Pressable Ceramic

    Another technique is to use a pressable ceramic to make a metal free crown. To do this the tooth is prepared in the normal way and an impression is taken. The new crown is then created using a special technique, where an English of porcelain is heated up and is pressed into a custom-made tooth mold under vacuum. The crown is then finished and porcelain can be added to create the very best effect.

    Our Zirconia Restorations Are Extremely Strong

    zirconia-crownToday’s all-ceramic restorations are incredibly strong which is why we can even produce full-arch bridges that are entirely metal-free. Bridges will generally have a substructure made from a material called zirconia which is extremely hard and durable while being very biocompatible with the body. We can also produce zirconia crowns and even veneers that have a zirconia substructure that is covered up with special porcelain. Zirconia can be white or tooth colored so these restorations can look amazing.

    What Are the Advantages of Choosing Zirconia Restorations?

    Zirconia is incredibly strong and it can be an amazing material when used to restore teeth. Just like a same-day crown, a zirconia restoration is a custom milled from a solid block of this material. However, after milling, it has to be baked for quite some time at an extremely high temperature, a process that ensures the resulting crown or bridge is just about indestructible. Additionally, zirconia is highly biocompatible so there is no need to worry that it will cause any adverse reactions. Then there is the appearance of zirconia, as it has a translucency that is similar to natural teeth, although most zirconia crowns are covered up with a special type of porcelain that also replicates this natural appearance. There is a reason for covering up zirconia with normal porcelain that is considerably softer. This is because it will create less wear and tear on the opposing teeth whereas a pure zirconium crown could wear down teeth too quickly.

     

    Clients’

    Testimonials

    ★ ★ ★ ★ ★ GOOGLE Reviews

    The staff here is so kind and they really know how to make you feel at home. If you’re ever confused with the costs of anything they’re very transparent and will work with you. You’re in great hands here.

    ★ ★ ★ ★ ★ GOOGLE Reviews

    I love the whole experience here. The people are so kind and caring. Definitely would recommend this place. I only have my braces on for a year and four months.thank you so much Bella

    ★ ★ ★ ★ ★ GOOGLE Reviews

    Dr. M. Weiner is superb! She is an amazing professional who takes pride in her work! Her accolades speak for themselves. I have always been treated with the best of care and my teeth look amazing! Her office is impeccable, her staff is extremely friendly and knowledgeable with all they do. I highly recommend this office and I’m certain you will never be disappointed. In addition, Dr. Weiner has all the latest relaxation techniques and the office atmosphere will put you at ease. This is the best dental office I’ve ever experienced. Thank you.

    Using Zirconia Restorations for Dental Implants

    Dental implants are becoming an increasingly popular choice for replacing missing teeth and we can use all-ceramic restorations to restore these teeth. To do this, the abutment of the dental implant can be made from white or tooth colored zirconia. The abutment is attached to the dental implant post and protrudes just above the gum line. We can then fabricate a suitable all-ceramic crown or bridge to fit over the abutment, creating a wonderfully natural and beautifully restored smile.

    Zirconia Dental Implant Posts

    It is also possible to use zirconia implant posts so a dental implant can be entirely metal-free. Normally dental implant posts are made from titanium alloy, a metal that is highly biocompatible and which is commonly used in medicine for replacement joints. It is extremely rare to have any sort of allergy to titanium, but zirconia implant posts May be useful for anyone who may have a reaction to titanium alloy.

    We know some people don’t like the idea of having any sort of metal in their mouths, making all-ceramic restorations the perfect choice. They can also look amazing.

    Updated on Apr 28, 2025 by Dr. Marianna Weiner, DDS (Dentist) of Envy Smile Dental Spa
    Book Your Appointment Now