When you ask, how long do composite fillings last? — your dental team is quick to point out how important it is to maintain good oral health habits and regular dental checkups. And the composite dental fillings cost is negligible compared to your self-esteem and confidence restored with a winning smile in Brooklyn. Call today for a consultation and learn about the differences between amalgam vs. composite fillings.

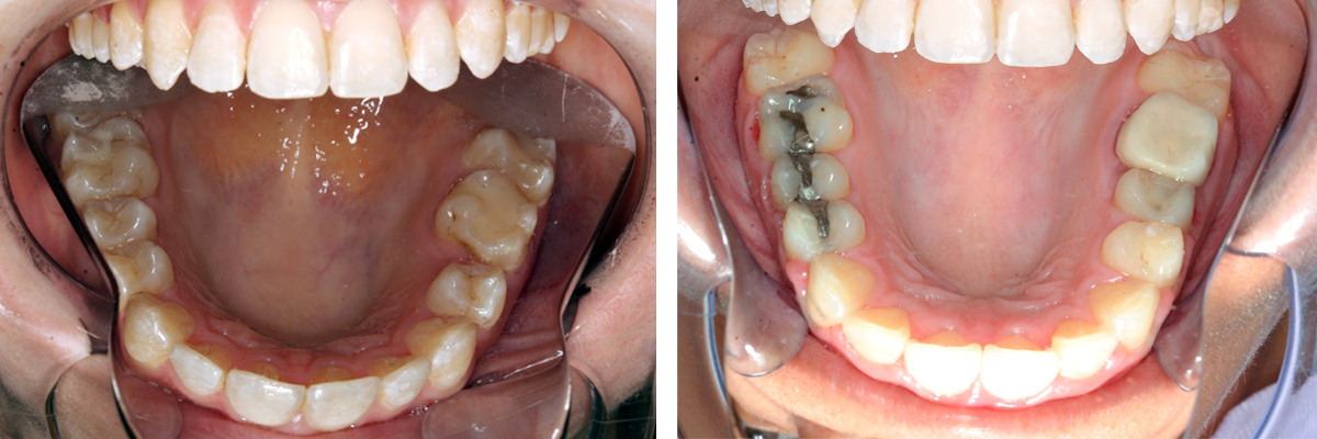
You don’t need to worry anymore about rows of dark, silvery fillings in your mouth. Tooth-colored plastic and glass mixtures have been developed as restorative materials for your teeth. And while Brooklyn dentists have long used amalgam fillings to replace decayed tooth structures, the silver-colored are noticeable and often unsightly, depending on their location in your mouth.
Composite resin fillings, on the other hand, provide a more natural and pleasing appearance for your restoration needs. Modern cosmetic dentistry has evolved to make the results of this common procedure more natural-looking than ever before. And your dental team at Envy Smile Dental Spa always looks out for both your oral health and your dazzling smile.
Amalgam vs. Composite Fillings
Amalgama – is a combination of mercury, silver, tin, zinc, and copper — is one of the toughest materials for dental fillings. It’s even used for large fillings in your molars, where the bite pressure is greatest. However, the silver color makes them very noticeable, especially if your appearance plays an important role in your career or work prospects.
Composite fillings provide an inexpensive alternative. Composed of tooth-colored resin to mimic your natural teeth, composites combine the positives of the other choices with aesthetically pleasing options. When the choice is between amalgam vs. composite, the difference is between very strong dental fillings for your back teeth and a more natural-looking restoration for your front teeth. Because composite fillings are so versatile, your dentist can use them for a wide variety of issues, including:
- Repairing and reshaping a tooth after the decayed material is removed
- Reshaping your teeth if they’re cracked or chipped
- Improving the appearance of teeth that are permanently discolored
- Reducing gaps between teeth that are unsightly or that encourage decay
- Protecting the tooth’s root if it has become exposed due to the gum receding
Procedure and Process
Since fillings are used to replace decayed material or cavities, you usually feel relief quickly once the filling is in place. Your dental spa team works to ensure that you have less pain and are satisfied with the appearance of your composite dental fillings. Your cosmetic dentist:
- Locates the exact location of your cavity with X-rays and by examining your tooth with dental tools
- Makes sure you’re comfortable by administering a local anesthetic to block pain
- Uses a dental drill or laser to remove the decayed material from your tooth
- Cleans the cavity, providing a pristine environment for the filling
- May place a base or liner of glass, composite resin or other material to reduce sensitivity if the cavity is deep or near the root of your tooth
- Places several layers of composite resin into the tooth, building up the layers slowly and hardening each with a high-intensity blue light to bond them to your tooth
- Shapes cleans and polishes the final tooth to even out your bite
Your dentist can also use composite fillings to repair a traumatized tooth. Rough spots from an uneven bite or enamel erosion with accompanying tooth sensitivity can also be remedied with them.
Aftercare for Dental Fillings
Regardless of whether you receive a filling for cavity repair or to fix a traumatized tooth, recovery and aftercare are the same. You may experience some slight soreness in your jaw and the surrounding tissue. Usually, you can take over-the-counter pain relievers if the soreness is noticeably uncomfortable, but any discomfort fades within several days.
You’ll notice the pain from your cavity and tooth sensitivity disappears almost immediately after getting the dental filling in Brooklyn, allowing you to return to normal eating and speaking. Reducing sugary foods and drinks — and committing to good oral care, as well as regular dental cleanings and checkups — help keep you pain-free. Follow these tips to keep them in good shape, too.
Advantages and Disadvantages
Composite fillings are now more commonly used than most other types because of their many advantages. Natural-looking and one of the easiest and most affordable procedures for tooth restoration or alteration and can usually be completed in one visit, depending on the number of teeth involved. Aftercare is the same as with your natural teeth. Composite fillings cost between $100 and $400 per tooth.
Composite dental fillings don’t resist stains quite as well as porcelain or crowns, and they have a tendency to slowly wear or chip away. How long do they last? Anywhere from three to 10 years, depending on the location in your mouth.
The costs of this procedure have dropped due to advances in modern dentistry science. Advances are being made every day to increase just how long they last. And one of the best advantages is that your smile never looked better.
FAQ
How Long Does a Dental Filling Take?
Dental filling procedures typically take from 20 minutes to an hour, depending on how many cavities you will have filled.
What to Expect After Dental Fillings?
What to Expect After Dental Fillings?
How Do I Care For My Dental Fillings?
After your dental filling procedure, you should take proper care of your fillings so they can last. It is also not much different from your everyday at-home dental care. For your treatment to last, you should:
- Brush your teeth thoroughly twice a day, rinse, and floss.
- Avoid sugary foods and foods that stain (such as coffee and tea), if you do eat these foods, rinse your mouth with water after consumption.
- Avoid smoking or drinking.
- Avoid biting too hard.
- See your dentist bi-annually for routine check-ups and cleaning.
Do Dental Fillings Hurt?
While fillings do not typically hurt, you are administered local anesthesia so you don’t feel possible pain or discomfort. If you feel pain after your procedure, you can take over-the-counter pain management medications.
Do you have questions about Tooth Fillings? Would you like to schedule an appointment with one of the best dentists in New York? Please contact our office.